胚胎染色体正常,封闭抗体正常,糖耐量正常,甲状腺功能正常;没有腺肌症,没有子宫肌瘤,没有宫腔息肉,竟然又胎停?!为什么?

在试管的路上,最痛苦既非取不到卵,也不是移植不着床,而是胎停,从云端跌落到谷底。作为医者,帮助患者找到原因,预防再次伤害的发生是我认为最重要的事。所以,排除了一开头那么多的原因,接下来,我们来谈谈一个曾经不被那么重视的原因——子宫动脉血流异常。
子宫是孕育生命的摇篮,子宫动脉及其分支为它提供源料,输送营养,为胚胎发育做好准备。怀孕后,子宫动脉将富含营养物质的母血送至胎盘绒毛间隙,与胎儿血液进行物质交换。子宫内膜如同种子发育的土壤,子宫动脉及其分支为摇篮和土壤提供源源不断的血供和营养,保证胚胎发育所需要的各种养分。
简单理解就是:子宫动脉是为胎儿输送成长液的轨道。如果因各种原因导致子宫动脉血供异常,阻力过大,血液灌流不足,营养供给跟不上,就会影响胚胎的着床、发芽及生长,从而引起流产。
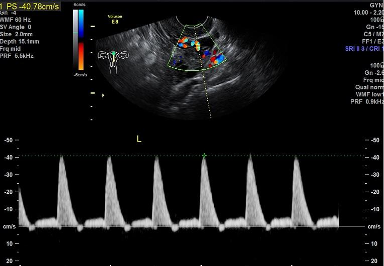
一项基于1700多例复发性流产患者进行的回顾性分析显示复发性流产有明确原因的达63%,排除胚胎因素后,自身免疫和血栓前状态导致反复流产者所占比例最大。而孕期的血栓状态最直接的影响就是子宫动脉血流,因此不少反复自然流产的患者伴有子宫动脉血流的异常。而我们通过B超可以很容易地了解到子宫动脉的血流情况。而最常见代表子宫动脉供血情况的参数包括搏动指数(PI)、阻力指数(RI)及收缩期峰值流速/舒张期流速(S/D)。

而子宫动脉血流指数在月经周期的不同时段会有所不同,正常情况下,排卵后的黄体期(受精卵着床时期)间子宫动脉的血流量增加,这对受精卵着床就非常有益。PI和RI值越低说明卵巢和子宫的血流灌注情况越好,胚胎着床率也就越高。
一般来说,在妊娠前子宫动脉血流动力学参数的正常范围是RI<0.85,PI<3,双侧S/D之和<12。
一旦发现子宫动脉血流动力学参数检查异常,应及时在医生指导下进行抗凝治疗、改善血流灌注。低剂量阿司匹林、肝素等可有效改善子宫动脉血流灌注,可能增加子宫内膜厚度,提高子宫内膜对胚胎的容受性,降低胚胎停止发育的风险。
本文转载自彭献东医生科普文章,版权归彭献东医生所有,如有侵权请联系小编删除










